第一章-病理学分类
软组织沙马斯分类:组织学分级
语义分级STS级1、2或3级按FNCLCC执行
三大参数评价:肿瘤分治、线性计数和肿瘤坏死
主要的评分值预测远程移位概率和总体生存无法预测局部复发
FNCLCC评分少信息化RMS,Ewingsarcoma,ASPS,Cepthlioidsarcoma和清除细胞sarcoma自定义高等级
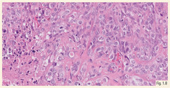
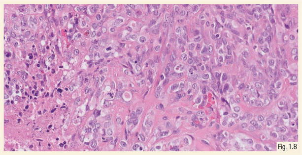
Epiteliodsarcoma定义高等级注意左侧坏死区
介质润滑镜中超细胞圆细胞分量百分比决定等级: > 5%被视为高等级
面向点定STS成年病人免转移生存与语法级相关(来自法式Sarcoma集团数据库)。
新元理疗后无法执行历史分级
语义分级不能替代语义诊断
重构问题
开工哪个标准用于语义排序
二叉FNCLCC分级不适用哪些肿瘤
3级语义分级的目的何在


