定义ALK
ALK基因2p23.1ALK基因蛋白质组成员ALK受膜约束,虽然有数种假设ligands,包括pleiopritoin和Midkine(Polepte神经生长因子),但对ALK生物学的这一方面知之甚少。ALK下游细胞激活信号启动PI3fricase, 但也能够激活RAS/RAF/MAPK和JAK/STAT路径
ALK生理函数鲜为人知,但在新生儿神经系统开发与神经生成中似乎有作用,至少在鼠标模型中有作用。在许多方面,激活ALK下游效果可能类似于激活EGFR效果,并基础为超重ALK激活
ALKNSCLC异常
ALK生物异常性在淋巴瘤中已知(即名称)和在其他一些人类肿瘤中已知已有一段时间近至2007年,非小细胞肺癌中发现ALK基因和EML4移位染色体2p倒置EML4基因5端贴上ALK基因3端生成聚合基因产品中包括活性ALK类系统,它不依赖ligand绑定各种动物模型用来证明聚合基因的成因变换特性,以及使用ALK树枝抑制器废除肿瘤活动并抑制肿瘤生长的可能性后发现EML4基因的多段变异伙伴类同ALK基因3's段人类临床案例此外,其他染色体中的其他基因(KIF5B、KCL1、TLFT和PTPN3在不同重新排列中可起伙伴作用转址作用,并产生聚变基因,其产品有ALK动脉
ASCCL报告ALK基因重排列流行性(反转EML4比其他移位常用性高)高可变性并直接依赖测试群使用高流行率偏差相关临床标准选择案例同EGFR突变一样,ALK重排列不是由烟草致癌驱动的,因此从不吸烟者中比较常见,但没有理由个人冒烟者不产生这种肿瘤。ALK重排列肿瘤患者趋势小于平均肺癌患者(中度-50s),但在EFGR变异中发现的性别差异一般在ALK正例中找不到基于语法选择案例对结果也有戏剧性效果和EGFR突变一样,ALK聚变是外围肺膜非单片驱动致癌物生物特征,即终端呼吸元件,并因此是如果所有NSCLC都测试ALK聚合值,则常用结果会低得多,视测试群中微量细胞癌的比例而定。稀有ALK重排列细胞癌报告,但这些案例异常,如果遇到,第一件事应该是质疑组织学诊断加上所有这些警告,报告流行率介于约2-7%NSCCL
ALK预测肺癌生物标志
至今为止,尚没有固定数据显示对ALKTKIs的临床或治疗响应与所报告的不同聚变蛋白有任何差别然而,在绝大多数研究中,ALK基因伙伴未知,因为检测重排列使用的方法是分片流频原地混合测试(见下文)。研究持续显示ALK重排列NSCLCALKTKI理疗响应率为60-70%
ALK测试NSCLC
多数指南建议所有有确定性、似然性或似然性肿瘤的病人接受肿瘤测试ALK基因重新排列永不或长长前吸烟者可合理考虑测试quous细胞癌
临床参数-吸烟习惯、性别、年龄、民族等不应用选择病人测试排除有肾上腺素的吸烟者将冒失相当比例可处理变异的风险
ALKTKI疗法一般保留第四级疾病,目前仅许可二线或二线或更高线的治疗,但测试往往不论阶段、实用目的或缺少阶段信息都进行。由病理学家驱动的反射检测广度实践,但由于各种原因,局部实践可能偏向由肿瘤学或肿瘤板请求驱动的测试有时争论道,当二行提供药时,不宜测试ALK前端诊断作者认为,在初始诊断时测试所有相关标识比较实用。部分肿瘤科专家表示优先知道病人ALK重新排列,同时接受第一线化疗ALKTKIs发现第一行使用时,该动态会改变
测试方法
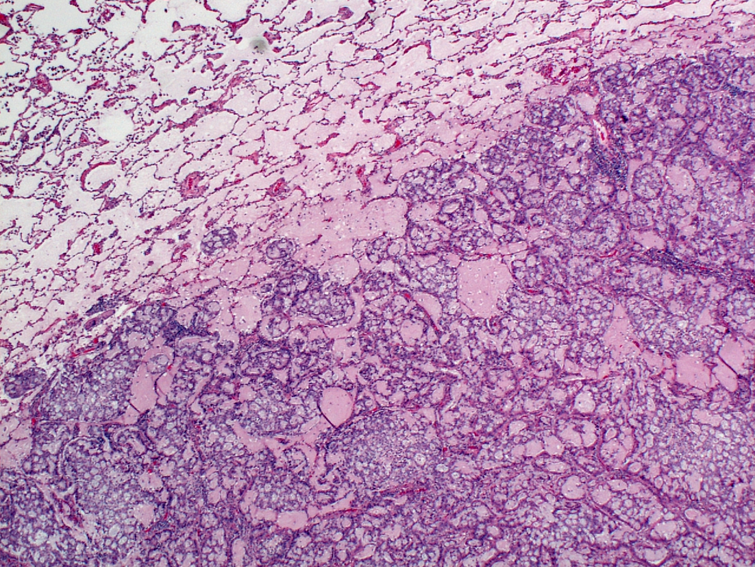
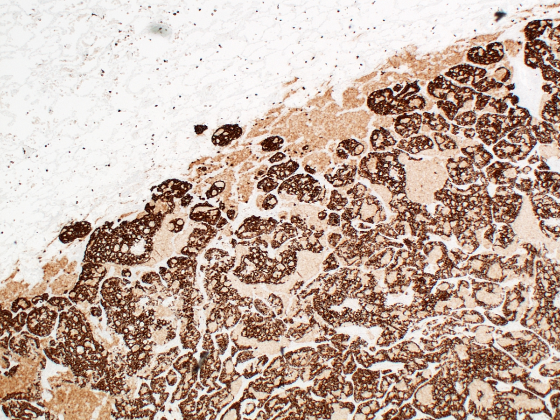
使用几种不同方法识别肿瘤隐藏ALK基因重新排列的病人,对于应如何处理测试问题,仍然很少有明确的共识。传统的实验室方法检测基因重排列原地混合解析分解基因mRNA基因产品可用逆转转录子聚合链反射法解析和大规模并行排序法方法识别脱氧核糖核酸聚合基因并发基因重组与肿瘤细胞中亚卡蛋白适量高相关联,可通过免疫史化学检测
使用双色分解探针的FISH测试仍被视为`gold标准'测试,主要是因为在早期临床测试中使用并验证了这一传统方法CrizotinibALK重排列NSCLCFISH测试后被美国药管局批准为Crizitib理疗辅助诊断,FISH测试要求至少50个可评估细胞至少读取50%,其中至少50%应显示非fedALK基因,通过三维和五维探针分离双直径或五维信号或丢失5信号来突出显示发现异常细胞小于这个百分比时,两位阅读者应评估100个细胞,异常细胞平均评分应超过15%-偏差图说明切除人工制品和各种不表示ALK基因重排列的其他偶发事件FISH相对昂贵耗时,需要特殊专业知识和设备,ALKFISH特别难读多肺癌样本中肿瘤细胞稀疏也使得阅读FISH难染色体原地混合式测试现可用ALK测试使用光场显微镜的长处是好保存形态学,但经验有限
RT-PCR技术非常特殊,但缺乏敏感度和可靠性稀有聚变基因,如果多式PCR响应素集不覆盖相关聚变基因,质量mRNA可能无法从stime固定嵌入组织中获取,而mRNA通常是肺癌诊断素源FFPE组织失灵率报告达30%技术不广可用,需要特殊知识成本适中
使用NGS方法检测聚变基因是可行的,但在例行临床环境没有广泛实践毋庸置疑,随着技术经验的提高,这一方法将得到广泛采用。测试是否被接受为初级诊断或筛选工具,需要FISH或IHC确认,还有待观察
IHC检测高水平ALK蛋白多家实验室使用ALKIHC作为一种廉价快速筛选法,确定可能的个案供FISH确认,少用RT-PCRIHC正逐步建立为欧洲和亚洲ALKTKI理疗初级预测选择器,数位适当的ALKIHC抗体可用,但测试成功时,必须使用适当敏感IHC检测系统,以便检测ALK蛋白微值高位围绕非cortialALKIHC和FISH问题(一种模式正数,另一种模式负数)进行了多场讨论实例无疑存在,但极稀有(所有异常ALK测试案例 < 5%),最异性测试组合可能是出于技术原因ALKIHC呈阳性,ALKFISG负肿瘤响应ALKTKIs和传闻报告逆差测试结果肿瘤对crizitinib反应较差,
样本测试
含有肿瘤细胞的任何病理样本都可用:生物切片样本、细胞素材、外切肿瘤FISH样本需要最小数可评估肿瘤细胞,RT-PCR和NGS技术取决于mRNA或DNA质量和数量,ALKIHC可读取极小数格据我们所知,异质表达不是这些测试的主要混淆器,但数据有限视IHC技术使用而定,病理学家必须知道测试的陷阱,正如他们在阅读FISH测试时必须知道的那样,以避免假正或假负结果
确保及时质量ALK测试
工作链中有许多步骤和个人从决定测试到采样处理、提交分子实验室、分子和病理数据同化并报告治疗师IHC可数小时执行阅读-同日服务可能可行,次日服务相当例行性FISH测试通常需要更长时间当前NGS测试结果需要多日验证高效通信和工作系统对及时诊断至关重要ALKTKIs仅提供二线或二线以上治疗,但对于一线处理决策或当测试推迟到二线时变得更为关键
所有发布临床报告实验室应参与外部质量保证程序并适当执行内部定期监控性能,了解潜在的假正假负测试很重要
报表ALK测试结果
ALK测试结果应结合样本报告,样本诊断出NSCLC并融入总体病理报告上下文至关紧要,避免错误解读结果需要专家病理学输入FISH测试评估,因为识别肿瘤细胞有难度
病理学家应该知道,如果没有正ALKIHS测试,肺神经内分泌肿瘤中有可能呈阳性ALKIHC此类发现的意义不明
提交治疗医生的报告应提供ALK测试方法细节,在FISH测试中,评估细胞数和显示异常%表示非FLK基因泛泛评论任何结果对治疗的影响是可以接受的,但应避免提出具体的治疗建议。
引用
- Ou-S-HIBartlettCMet al.Crizotinib处理ALK重新排列非小细胞肺癌:成功故事肿瘤学201217 1351-1375
- SodaM,ChoiYL,EnomotoMet al.识别非小细胞肺癌变换EML4-ALK聚合基因自然2007448 561-566
- 里科娃库尔et al.磷信号带全球调查辨识肺癌成因动脉手机20071311190-1203
- IASLC肺癌测试地图集ThaoMS、HirschFR、YatabeY国际肺癌研究协会,美国科罗拉多2013年10月
- KerrKMALK非单细胞肺癌测试:现在怎么办?托拉克Oncol2014;9:593-595
- LindemanNICGLERPTBBet al.EGFR和ALK脉冲抑制器选择肺癌病人分子测试指南:美国病理学院指南、国际肺癌研究协会和分子病理学协会指南J Thrac Oncol 2013;8:823-59
- KerrKMBENDORVLEDERMJet al.EMSO第二次肺癌共识会议:非小细胞肺癌病理学和分子生物标志安安科尔201425 1681-90



