HER2定义
人类上下文生长因子2HER2在几种肿瘤中表达得过度,包括胃-阴道肾上腺
胃癌HER2作用Protein过分表达与17染色体分片的遗传放大相关联,这些分片可能同时产生17染色体或双分钟染色体重复
HER2剖析胃癌
HER2过分表达于约30%肠型胃癌、15%混合型肿瘤和约5%扩散型肿瘤中信号环类型典型HER2负肿瘤定位显示,大约30%的肿瘤在心气相交和15%的胃癌显示HER2阳性
HER2作为气态癌症预测生物标志
越来越多的证据表明HER2在胃癌患者中作用过大,这与不良结果和更具攻击性疾病相关多次调查HER2预知性因子虽然没有普遍结论,HER2状态的积极结果似乎微弱预测性因素所有研究都遇到问题,如小样本大小、病人特征多样性、HER2测试方法以及HER2状态诊断HER2状态似乎不独立预测生物标志
HER2预测学生物标志
临床HER2被建立为HER2目标疗法预测生物标志胃癌预测生物标志处理struzumab.自truzumab结合化疗显著提高HER2阳性胃科和胃-剖析交叉点病人生存率由HER2免疫史化学原地混合性应该是例行病理学的一部分
HER2测试胃癌建议
需要代理外科样本或足够数量的可行生物检验样本(理想为6至8)少有活性标本时,应测试所有可行标本Imnohistechistry应该是HER2初始胃癌测试法,并尽可能优先选用光场方法
ERH2概率按欧药局许可定义为3+或2+/流水原地混合阳性或免疫史化学2+/Silver原地hybridization-positive.
肿瘤样本分类为免疫史化学2+应用荧光重新测试原地混合或银原地混合评估HER2状态
银色原地混合法比荧光法更合适原地混合化评估胃肿瘤样本中的HER2状态,因为它是一种光场方法,因此可快速识别异样样本内HER2-阳性肿瘤福西
排序推荐
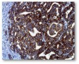
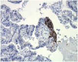
Immunohistochemistry
这些标准从乳腺癌标准修改为考虑胃-阴道癌症常见特征边际HER2定位和多样染色因肿瘤异性(主动区)和不完全膜染色,应坚持胃癌专用评分标准:
- 外生标本截取:完全性、边际性或平面性复用率在+++++++++++++++++++++++++++++++++++++++++++++++++++++++++++++++++++++++++++++++++++++++++++++++++++++++++++++++++++++++++++++++++++++++++++++++++++++++++++++++++++++++++++++++++++++++++++++++++++++++++++++++++++++++++++++++++++++++++++++++++++++++++++++++++++++++++++++++++++++++++++++++++++++++++++++++++++++++++++++++++++++++++++++++
- 5聚类细胞中生物切分样切取:完全性、basoroti
磁化规则应结合评分标准使用
原位混合
荧光定义原地混合或银原地胃口或胃口癌症混合假设值HER2:chroomome 17比#2.0整段应筛选放大区域(对荧光特别重要)原地混合样本缺光场图像)入侵构件中至少20个可评价非重叠细胞应初始计数边界放大案例约20多细胞应重新计数或评分应在替代组织区执行HER2整体基因计数很重要 :>6HER2基因拷贝使用单探4至6HER2基因复制件建议双重检测并重算比法
保证质量及时HER2测试结果
验证免疫史化学原地HER2混合解析法应使用,适当控件应包含在每次运行中从初始诊断转向报告结果时间最优不应超过5个工作日。尽可能推荐集中测试,应鼓励所有实验室参加验证质量保证程序
算法和算法应使用何法分析胃癌中的HER2状态
imnothis基础HER2筛选算法是一种实用策略,许多实验室使用,原因是相对劳力密集原地混合化,尽管struzumab美国所有HIS阳性胃-眼癌患者均获核准理疗(不管免疫史分数如何)。免疫史优先筛选协议要求高一致性免疫史化学和ISS解析最优免疫史化学筛选分析也应显示高敏感度和低假负速率SIS放大性,以确保识别所有可能从反HER2疗法受益的病人
病人选择
在欧洲,推荐免疫史化学为首例测试模式原地混合技术应仅适用于2+免疫史化学Imnohistechistry0和1+没有资格接受truzumab理疗边线免疫情理学1+/imnothistic2+案例和样本原地混合或银原地混合化(两种分析的分数应在报告单列说明)。
引用
- RuschoffJ,HannaW,BilousM等HER2胃癌测试:实用方法Modpathol201225(5):637-50
- RuschoffJDitelMBERTONG等HER2诊断剖析并开发标准免疫史化学测试Virchows Arch2010;457(3):299-307
- Van CutsemE BangY-JFYYIF等HER2筛选数据来自ToGA:气态癌症2014DOI/1107/s10120-014-002y
- BangY-J,Van CutsemE,FeyereislovaA等trastuzumab结合化疗单治HER2阳性高级胃科或胃-眼关卡癌症:阶段3开放标签随机测试Lancet2010;376(9742):687-697
- T.华德尔市维海治Allum等胃癌诊断、处理和后续实践指南Annocol201324(Support 6):vi57-vi63



